发布日期:2019-05-25 09:49|来源:成都商报电子版|

肿瘤CT影像

手术中 图据四川省肿瘤医院
2019年母亲节过后的第3天,四川省肿瘤医院为一位31岁的年轻母亲摘除了一个胸腔巨大肿瘤。当完整的肿瘤组织从胸腔取出来时,现场所有医护人员都不断惊叹:该肿瘤最长直径超过标准成人男子篮球直径(24.6cm左右)的长度。
巨大肿瘤摘除具有手术视野受限、不可预知、容易大出血等难点,专家提醒,建议市民养成定期体检的习惯,早发现、早治疗。
诊室中
“我们孩子才8岁,不能没有妈妈”
2019年母亲节前夕,一对年轻夫妇,来到四川省肿瘤医院陈利华主任的诊室。“陈主任,请您帮忙看看我老婆的病情。”丈夫说着拿出检查结果。
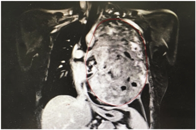
从CT片上一眼看去,左侧胸腔除了巨大的肿瘤几乎看不见任何正常器官和组织!肺被挤到了边缘,心脏、大血管、食管、气管等被完全挤向了右侧。与此同时,患者递来了其他医院的病理报告提示:梭形细胞肿瘤,考虑肉瘤。这是种对放化疗几乎无效的肿瘤,手术是最好、似乎也是唯一的选择。
患者的丈夫小心翼翼地说道:“都说肿瘤太大了,手术风险高。我们孩子才8岁,她不能没有妈妈啊!”原来6个月前,患者出现左侧胸痛,在当地医院就诊后口服中药治疗,症状反复,于2019年3月28日就诊于某医院,明确诊断了病情。
事实上,这种胸腔巨大肿瘤不要说在四川地区,即使在西南乃至全国来讲都很少见,并且手术风险与难度都是极高的。因此,在四川省肿瘤医院里展开了多学科讨论,并与患者和家属充分沟通,互相激励。
2019年5月14日早晨,该院韩泳涛教授带领团队术前再次核对手术方案、做好一切预案准备应对术中可能发生的意外情况。韩教授知道这一刀下去就再无退路,手术室里,护理团队增派了人手、麻醉团队增派人手、输血科做好了血液准备,抢救车在手术间外备用。6位医生、2位麻醉师、5位护士都聚在了这间手术室。
手术室里
绕过埋伏的“地雷” “摸除术”取出大肿瘤
按照手术原定计划,先进行了左胸前外侧切口探查肿瘤在左侧胸腔内情况。打开胸腔,肿瘤和胸腔致密地粘连在了一起。既不能弄破肿瘤,又要尽量完整地保留周围受挤压变形的正常器官、组织,韩教授和其团队如同绣花般精细地一毫米一毫米分离,将肿瘤的包膜完整与胸腔壁分开。
医生们松了一口气,这是一个不错的开端,就眼前的肿瘤情况来看,也许可以完整地拿下!现在的难点在于无法确定肿瘤与心脏、气管、食管、大血管,尤其是肺的关系,巨大的肿瘤就在眼前,挤占了左侧胸腔几乎全部的空间。无法较大幅度地搬动肿瘤,就意味着无法看清肿瘤背后的情况。韩泳涛教授及团队并没有采取常规的把肿瘤切碎,减小体积后再切除残余肿瘤这种可能增加出血、造成种植转移的手术方式,而采取了另一种难度更大的肿瘤“摸除术”,在看不见的情况下,完全靠手的触感来探寻潜在的间隙,推挤出肿瘤包膜与正常组织的边界,且保持肿瘤完整和正常组织无损,手术难度可想而知。幸运的是肿瘤似乎并不是来源于肺,肺组织被推挤在了胸腔的一个极其狭小的空间,这样在完整切除肿瘤的同时,还能保下患者的肺,提高这位年轻母亲以后的生活质量。摸除肿瘤的同时,尽量避让血管、神经,绕过这一个一个埋伏的“地雷”。
术中还经历了几次过山车般的血液循环不稳定,在严密监测和药物治疗下患者生命体征维持平稳,肿瘤完全切除了下来,完整切除的肿瘤大小26cm×18cm×9cm,该肿瘤最长直径超过标准成人男子篮球直径(24.6cm左右)的长度。由于肿瘤的压迫几乎处于无功能状态的左侧肺组织慢慢膨胀起来,顺利地通气并发挥功能作用。手术成功了,这位年轻的母亲也渡过术后最危险的1周,现处于术后康复阶段。
医生提示:
建议市民养成
定期体检的习惯
韩泳涛教授告诉记者,巨大肿瘤摘除具有手术视野受限、不可预知、容易大出血等难点,该患者的病理报告还未完成,初步判断是先天带来的疾病,在瘤体小时不易被发现,后期增大后会压迫脏器、大血管,引起咳嗽、气短、心慌、重力牵扯痛等症状,如果没有有效治疗,患者会被压坏器官,最终导致死亡。
韩泳涛教授建议市民养成定期体检的习惯,哪怕是恶性肿瘤,早发现、早治疗仍然有很高的治愈机会。
成都商报-红星新闻记者 王拓
责编:玉玲